Stabkernige neutrophile Granulozyten

Aussehen:
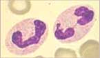
Stabkerniger Neutrophiler
Neutrophile Granulozyten sind meist nahezu kreisrund und haben ein hellgraues bis rosarotes Zytoplasma. Ihr Durchmesser beträgt rund 14 µm. Die Granula sind sehr fein und rötlich-violett bis bräunlich gefärbt. Der Kern des stabkernigen Neutrophilen ist länglich gebogen, z.T. mit Einschnürungen, die noch nicht fadenförmig sind.

Referenzbereich:
Die Zahl der Neutrophilen bewegt sich normalerweise zwischen 1.6 und 7.4 x 109/L. Abweichungen vom Normbereich nach unten nennt man Neutropenie, nach oben Neutrozytose oder auch Neutrophilie. Sinkt die Zahl der Neutrophilen unter 0.5 x 109/L, spricht man von einer Agranulozytose.

Funktion:
Eine der Hauptaufgaben der Neutrophilen ist die Abwehr von bakteriellen Infekten, indem sie die Erreger phagozytieren und abtöten. Hierbei gehen sie in der Regel ebenfalls zu Grunde. Die Neutrophilen können dank amöboider Beweglichkeit die Blutbahn verlassen und in das umliegende Gewebe einwandern. In der Blutbahn halten sie sich in der Regel rund sechs Stunden auf, im Gewebe 1-2 Tage. Rund die Hälfte der Neutrophilen im peripheren Blut zirkulieren nicht, sondern adhärieren an den Wänden schmaler Gefässe (marginaler Pool).

Segmentierung:

Man unterteilt die neutrophilen Granulozyten anhand ihrer Kernstruktur in Stabkernige und Segmentkernige. Es gibt zwei verschiedene Definitionen, nach denen diese Einteilung erfolgt.

  1. Fadenregel: Sobald der Kern an einer Stelle fadenförmig eingeschnürt ist, spricht man von segmentkernig, vorher von stabkernig.
  2. Drittelsregel: Sobald der Kerndurchmesser an einer Stelle weniger als 1/3 der breitesten Stelle beträgt, spricht man von segmentkernig.

In der Folge ergeben sich je nach angewandter Definition unterschiedliche Normwerte. Am Inselspital Bern wird die Fadenregel benutzt. Die Drittelsregel ist vor allem in der Pädiatrie gebräuchlich. Erkundigen Sie sich immer, welche Definition in Ihrem Labor zur Anwendung kommt.
Die stabkernigen Zellen sind jünger. Neutrophile mit mehr als vier Einschnürungen gelten als hypersegmentiert. Die Stabkernigen stehen zu den Segmentkernigen normalerweise in einem Verhältnis von rund 1 : 4 (Fadenregel) bzw. 1 : 12-15 (Drittelsregel ). Verschiebt sich dieses Verhältnis zu Gunsten der Stabkernigen, so spricht man von einer Linksverschiebung. Der umgekehrte Fall wird auch als Rechtsverschiebung bezeichnet.
Der Referenzbereich der stabkernigen Neutrophilen beträgt 0.1 bis 1.8 x 109/L, der der Segmentkernigen 1.3 bis 7.0 x 109/L. Das entspricht nach der Fadenregel 3 bis 17% stabkernigen Neutrophilen, bzw. 37 bis 67% segmentkenigen Neutrophilen.

Klinische Bedeutung:
Einer Neutrozytose können verschiedene Ursachen zu Grunde liegen. Die Mobilisierung des marginalen Pools ist typisch im Rahmen von Stresssituationen (Stressleukozytose). Bei akuten Infektionen und Entzündungen kommt es zur Mobilisierung von Neutrophilen aus dem Knochenmark. Hierbei treten vermehrt jüngere Formen auf, was als Linksverschiebung bezeichnet wird. Zudem können insbesondere bei bakteriellen Infekten toxische Veränderungen auftreten. Eine Neutrozytose mit Ausschwemmung unreifer Vorstufen wird leukämoide Reaktion genannt. Diese muss von der chronischen myeloischen Leukämie abgegrenzt werden, bei der typischerweise zusätzlich eine Eosinophilie, eine Basophilie und eine Splenomegalie vorliegen. Chronische Infektionen und Entzündungsprozesse können zu chronisch erhöhten Neutrophilen-Zahlen führen.
Einer Neutropenie können eine vermiderte Produktion oder ein vermehrter Verbrauch zugrunde liegen. Ursachen einer selektiven Neutropenie können Medikamente (z.B. nicht-steroidale Entzündungshemmer), Infekte (z.B. Typhus, Malaria, verschiedene Viruserkrankungen) oder Autoimmunkrankheiten (z.B. systemischer Lupus erythematodes) sein. Eine Neutropenie, welche mit einer Anämie oder Thrombozytopenie einhergeht, kommt bei erworbenem Knochenmarksversagen, Leukämien, megaloblastärer Anämie sowie unter Chemotherapie vor. Eine weitere Ursache kann eine Splenomagalie (Hypersplenismus) sein. Eine Neutropenie kann mit einer erhöhten Anfälligkeit für Infektionen einhergehen. Dies trifft insbesondere zu, wenn die Neutrophilenzahl unter 0.5 x 109/L (Agranulozytose) abfällt.
Eine Hypersegmentierung der Neutrophilen ist meist Ausdruck eines Mangels an Vitamin B12 oder Folsäure (Megaloblastäre Anämie).